เตือนเนื้องอกกระดูก พบก้อนแข็งที่แขน ขา อย่านิ่งนอนใจควรปรึกษาแพทย์
โรงพยาบาลเลิดสิน กรมการแพทย์ เตือนเนื้องอกกระดูก เริ่มแรก อาจพบก้อนแข็งที่แขน ขา และหากมีอาการปวด อย่านิ่งนอนใจควรปรึกษาแพทย์ผู้เชี่ยวชาญ
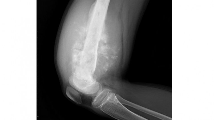
นายแพทย์ณรงค์ อภิกุลวณิช รองอธิบดีกรมการแพทย์และโฆษกกรมการแพทย์ เปิดเผยว่า เนื้องอกกระดูก คือ ภาวะที่เซลล์ของกระดูกมีการแบ่งตัว เจริญเติบโตผิดปกติโดยไม่ทราบสาเหตุ ทำให้กระดูกถูกทำลายไป หรือมีก้อนโตขึ้นอย่างผิดปกติ เนื้องอกชนิดธรรมดา (ไม่ร้าย) ที่เกิดภายในกระดูก แบ่งเป็น 3 ระยะ คือ ระยะที่ 1เนื้องอกมีขนาดเล็ก ไม่มีอาการปรากฏ ติดตามดูอาการก่อนได้ ระยะที่ 2 เนื้องอกเริ่มทำลายกระดูกบางส่วน มีอาการปวดตามตำแหน่ง ระยะที่ 3 เนื้องอกทะลุกระดูกออกมาภายนอกกล้ามเนื้อและเป็นก้อนโตขึ้น ซึ่งจะทำให้ปวดรุนแรงขึ้น ส่วนเนื้องอกชนิดร้ายหรือมะเร็งของกระดูกยังแบ่งได้เป็นสองชนิด ชนิดแรก มีต้นกำเนิดโรคจากตำแหน่งอวัยวะอื่น แต่แพร่กระจายมายังกระดูก เช่น จากปอด ตับ หรือเต้านม เป็นต้น มักเป็นในผู้ป่วยในอายุ 40 ปีขึ้นไปและมีประวัติเป็นโรคมะเร็งอื่นมาก่อน อาการที่พบได้แก่ ปวด หักง่ายแม้เป็นอุบัติเหตุเล็กน้อย กระดูกผิดรูป หรือคลำเจอก้อนเป็นต้น ส่วนอีกชนิดคือมะเร็งที่ตั้งต้นในกระดูกเอง พบบ่อยในกระดูกรอบๆเข่าหรือสะโพก มักมีอาการปวดและมีก้อนโตชัดเจน มักจะพบในผู้ป่วยช่วงอายุ 10-20 ปี
นายแพทย์สมพงษ์ ตันจริยภรณ์ ผู้อำนวยการโรงพยาบาลเลิดสิน กรมการแพทย์ กล่าวเพิ่มเติมว่าบางกรณีอาจพบอาการทางอ้อม เช่น ระดับแคลเซียมในเลือดสูง ระดับน้ำตาลในเลือดต่ำ อาการผอมแห้ง น้ำหนักลด เป็นไข้ ซึ่งมักพบในมะเร็งกระดูกที่แพร่กระจายจากอวัยวะอื่นหรือมะเร็งของไขกระดูก ทั้งนี้ การรักษาในปัจจุบันได้มีการพัฒนาไปมาก ประกอบด้วย 1. การผ่าตัด เพื่อนำก้อนเนื้องอกออก และทดแทนด้วยโลหะหรือกระดูกบริจาคเพื่อเสริมสร้างข้อต่อให้กลับมาใช้งานดังเดิมหรือใกล้เคียงเดิม หรือดามกระดูกเพื่อป้องกันการหักในผู้ป่วยบางราย 2. เคมีบำบัด ให้เพื่อลดขนาดก้อนและทำลายเซลล์มะเร็ง 3. รังสีรักษา ใช้ในผู้ป่วยที่มีการกระจายของโรคไปที่กระดูกหลายๆแห่ง เมื่อเสร็จสิ้นการรักษาแล้ว ผู้ป่วยควรดูแลสุขภาพตามที่แพทย์ผู้เชี่ยวชาญแนะนำ และมาพบแพทย์ตามนัดหมายต่อไป







