มะเร็งปอด PM2.5 ตัวปัญหา ไม่สูบบุหรี่ก็เป็นได้ เปิด 10 สัญญาณเตือน

ระวังภัยเงียบ "มะเร็งปอด" ไม่สูบบุหรี่ก็เป็นได้ เปิด 10 สัญญาณเตือน วิธีป้องกัน "หมอเจด" ชี้ PM2.5 ตัวปัญหาสำคัญ และ 5 สิ่งในบ้าน ต้นเหตุร้ายใกล้ตัว
ทุกคนต้องรู้ ภัยเงียบป่วยมะเร็งปอด ไม่สูบบุหรี่ก็เป็นได้ เปิด 10 สัญญาณเตือน วิธีป้องกัน "หมอเจด" ชี้ PM2.5 ตัวปัญหาสำคัญ และ 5 สิ่งในบ้าน ต้นเหตุร้ายใกล้ตัวไม่ควรมองข้าม
จากกรณีที่ "ป๋อ ณัฐวุฒิ สกิดใจ" ดาราและนักแสดงชื่อดัง ได้โพสต์คลิปเมื่อวันที่ 3 มิถุนายน 2568 สร้างความตกใจให้กับแฟนๆ ทั่วประเทศ ด้วยการระบุข้อความว่า "เมื่อครอบครัวเจอข่าวร้ายที่สุดในชีวิต" ซึ่งในคลิปดังกล่าว "ป๋อ ณัฐวุฒิ" ได้เผยถึงสถานการณ์น่าตกใจที่ครอบครัวของเขาเผชิญอยู่ โดยเปิดเผยว่า "เอ๋ พรทิพย์" ภรรยาของเขาป่วยเป็นโรคมะเร็ง
ต่อมา "เอ๋ พรทิพย์" ได้ออกมาเคลื่อนไหวครั้งแรกผ่านอินสตาแกรมส่วนตัว @aey_pornthip พร้อมข้อความว่า
"เป็นกำลังใจให้เอ๋ด้วยนะคะ ดูเรื่องราวความจริงของเอ๋ที่ไม่อยากให้เกิด ในYoutube ป๋อสะกิดเอ๋ พุธนี้เวลา 17.00 นะคะ"
"เอ๋ พรทิพย์" ป่วยมะเร็งปอด "กรรชัย" ยันเป็นเรื่องจริง ไม่ใช่คอนเทนต์
ด้าน "กรรชัย กำเนิดพลอย" นักแสดงและพิธีกรดัง ได้เปิดเผยอาการป่วยของ "เอ๋ พรทิพย์" อย่างชัดเจนว่า เธอป่วยเป็น "มะเร็งปอด" และอยู่ระหว่างกระบวนการรักษา พร้อมยืนยันอย่างหนักแน่นว่าเรื่องราวทั้งหมดเป็น "เรื่องจริง" ไม่ได้เป็นการสร้างคอนเทนต์แต่อย่างใด
อ่านรายละเอียดเพิ่มเติม ช็อกวงการบันเทิง "ป๋อ ณัฐวุฒิ" ประกาศข่าวร้าย "เอ๋ พรทิพย์" เป็นมะเร็ง (คลิก)
ภัยเงียบ "มะเร็งปอด" หมอเจด เปิด 10 เรื่องที่ทุกคนต้องรู้
"หมอเจด" หรือ นพ.เจษฎ์ บุณยวงศ์วิโรจน์ รองผู้อำนวยการโรงพยาบาลมหาราช นครราชสีมา ได้ออกมาเปิดเผยข้อมูลสุขภาพที่สำคัญ เพื่อให้ประชาชนได้ตระหนักถึงภัยเงียบ "มะเร็งปอด" ผ่านเพจเฟซบุ๊ก "หมอเจด" โดยได้สรุป 10 เรื่องที่ควรรู้เกี่ยวกับมะเร็งปอด ดังนี้
1. ไม่สูบบุหรี่ก็เป็นมะเร็งปอดได้ และก็ไม่ใช่บุหรี่อย่างเดียวบุหรี่ไฟฟ้าหรือพอตก็ทำให้เกิดมะเร็งปอดได้ เพราะคนที่ไม่สูบได้รับควันจากพวกคนที่สูบนั่นแหละ
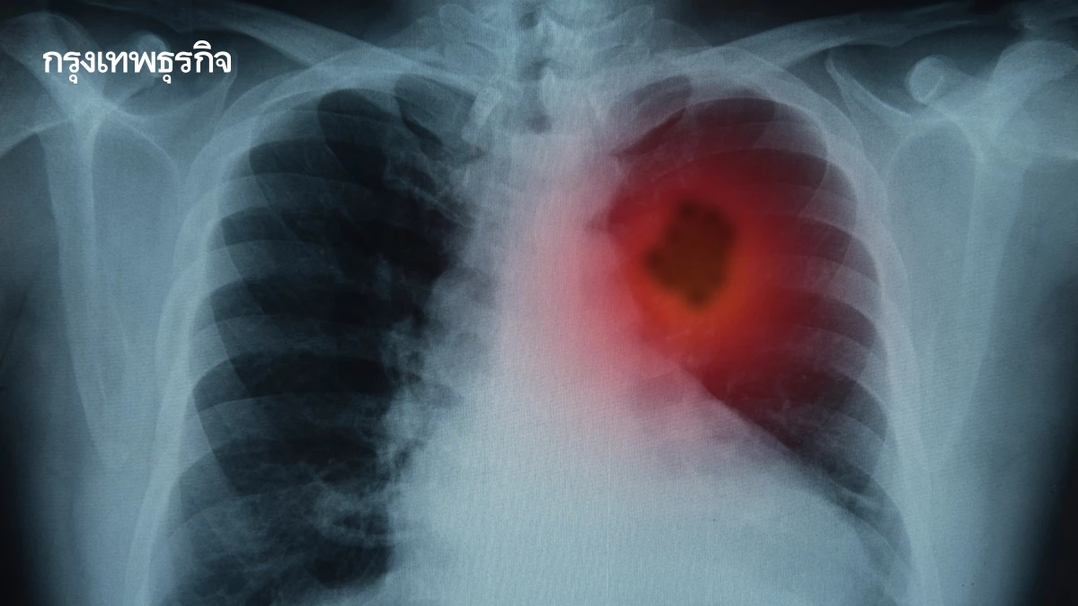
2. การเอกซเรย์ปอดธรรมดาอาจไม่พอ ต้องใช้ Low-dose CT ถึงจะเห็นระยะต้น มันมีหลายเหตุผลเนื่องจากว่าบางครั้งก้อนมันเล็กเกินไปหรือบางครั้งเงาหัวใจก็บังก้อนมะเร็งได้ แต่ในประเทศไทยยังไม่ได้ให้ตรวจแบบนี้ทุกคน
3. มะเร็งปอดมักเงียบ ไม่มีอาการ จนกว่าจะลาม หลายคนกว่าจะมีอาการก็มาเป็นเรื่องไอเรื้อรังหรือหลายๆคนที่เป็นโควิดมาก่อนก็อาจจะบอกว่าเป็นอาการหลังโควิดซึ่งจริงๆแล้วบางครั้งอาจจะเป็นมะเร็งปอดระยะ 3 หรือระยะ 4 ก็ได้
4. ไอเรื้อรัง เสียงแหบ น้ำหนักลดเร็ว ต้องรีบตรวจ ถ้าโชคดีอาจจะเป็นแค่วัณโรคปอดถ้าโชคร้ายก็ไม่ต้องพูด
5. ฝุ่น PM2.5 และควันจากการทำอาหารในบ้าน ก็เพิ่มความเสี่ยงได้ เอาจริงๆทุกวันนี้อยากจะบอกว่าถ้าไม่เห็นควันก็ไม่ได้แปลว่า PM 2.5 มันดีนะ บางครั้งถ้าต้องออกแดดออกข้างนอกบ้านอย่าลืมพกหน้ากากเถอะ
6. มะเร็งปอดเป็นสาเหตุการตายอันดับต้น ๆ ของคนไทย ซึ่งที่ผ่านมาเป็นมะเร็งอันดับ 2 ของคนไทยแต่เชื่อว่าก็น่าจะอยู่แบบนี้แหละเพราะฝุ่น PM 2.5 มันเป็นปัญหาที่สำคัญจริงๆ
7. การตรวจคัดกรองเร็วช่วยให้รักษาหายได้ในบางราย ซึ่งการตรวจคัดกรองถ้าให้ดีที่สุดก็อย่างที่เขียนไว้ในข้อ 2 ครับแต่ทั้งนี้ทั้งนั้นถ้าไม่ได้ก็เอกซเรย์ธรรมดายังดีกว่าไม่ทำอะไรเลย
8. ผู้หญิงที่ไม่สูบบุหรี่ก็เป็นได้ โดยเฉพาะคนอยู่ในเมือง เป็นเพราะแฟนผู้ชายชอบสูบบุหรี่ใกล้ๆ แต่จริงๆแล้วผมก็ต้องบอกว่ามลภาวะในเมืองมันแย่กว่าที่นอกเมืองหรือชานเมือง
9. เปิด 5 สิ่งในบ้านที่ทำให้เสี่ยงมะเร็งปอด: ควันธูป, ควันจากการทอดอาหาร, น้ำหอมปรับอากาศ, สเปรย์ทำความสะอาด, ฝุ่นสะสมในห้องแอร์
10. อย่ารอให้คนดังเป็นก่อนแล้วค่อยดูแลตัวเอง... ปอดของคุณก็สำคัญเหมือนกัน เพราะทุกคนก็มีคนที่รักและก็มีคนที่รักเรา เพราะฉะนั้นหันมาดูแลตัวเองครับ
อ้างอิง-ภาพ : หมอเจด







